DHA Haberleri
DHA

20 Şubat 2025 - 11:00
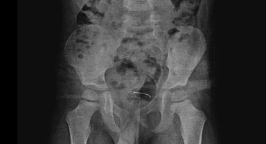
5 yaşındaki çocuğun yuttuğu toplu iğne, ameliyatla çıkarıldı 
20 Şubat 2025 - 11:00
Tarihi Ulu Cami'nin minaresinde 5 yıldır 'eğilme' gözlenmedi 
20 Şubat 2025 - 10:54
Emine Erdoğan, Cumhurbaşkanlığı Millet Kütüphanesi'nin 5'inci yılını kutladı 
20 Şubat 2025 - 10:54
Kendini infaz koruma memuru olarak tanıtıp, 690 bin TL dolandırdı 
20 Şubat 2025 - 10:54
Bartın'da kar yağışı nedeniyle 12 köy yolu ulaşıma kapandı 
20 Şubat 2025 - 10:48
TÜİK: Tarımsal girdi fiyatları aralıkta arttı 
20 Şubat 2025 - 10:48
TÜİK: Yurt dışı üretici fiyatları ocakta arttı 
20 Şubat 2025 - 10:48
Doktor İrem'in darbedilip, saçının kopartıldığı anların görüntüsü ortaya çıktı 
20 Şubat 2025 - 10:42
Seyyar tezgahında 40 yıldır çakmak tamir ediyor 

